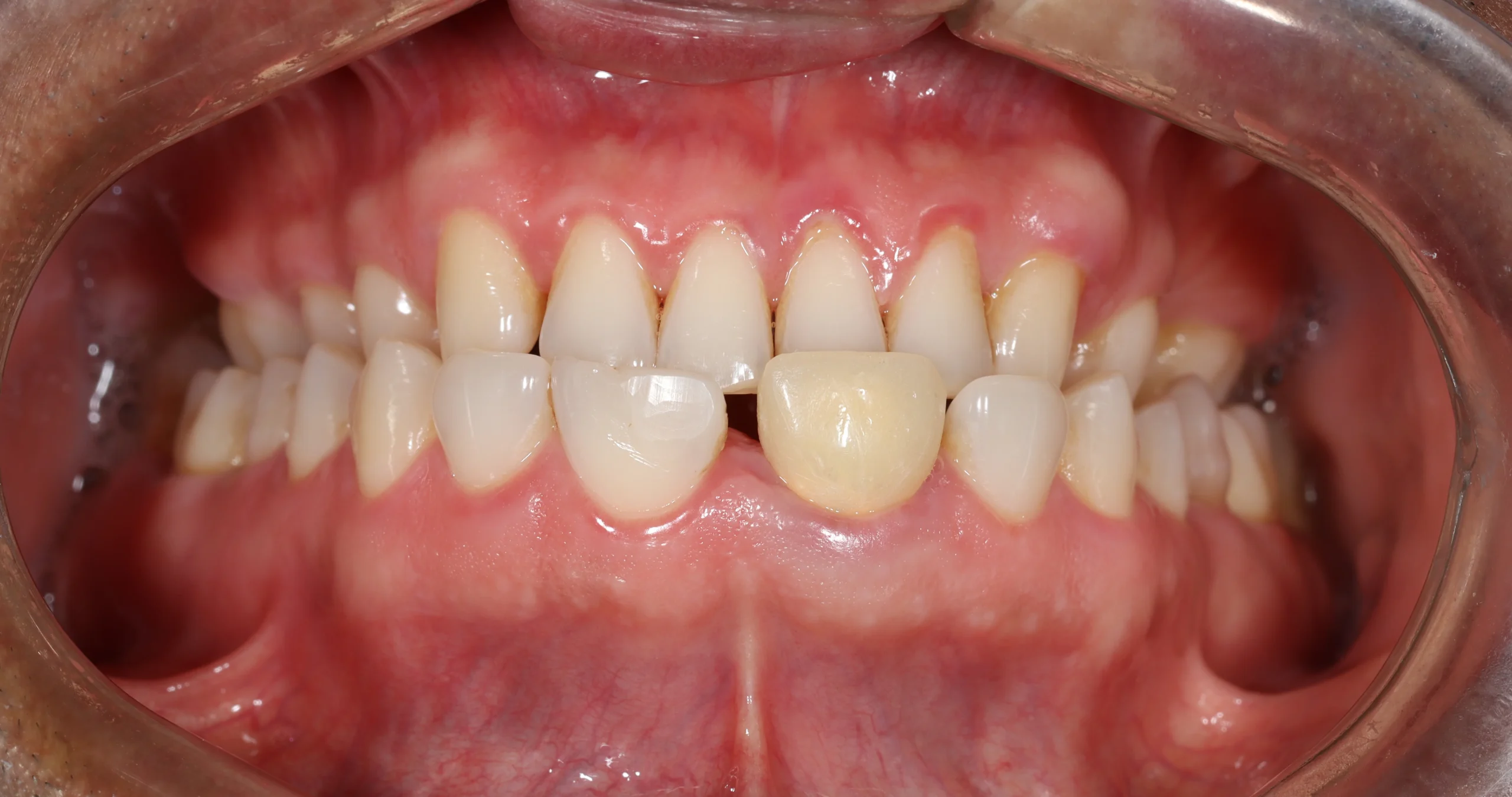
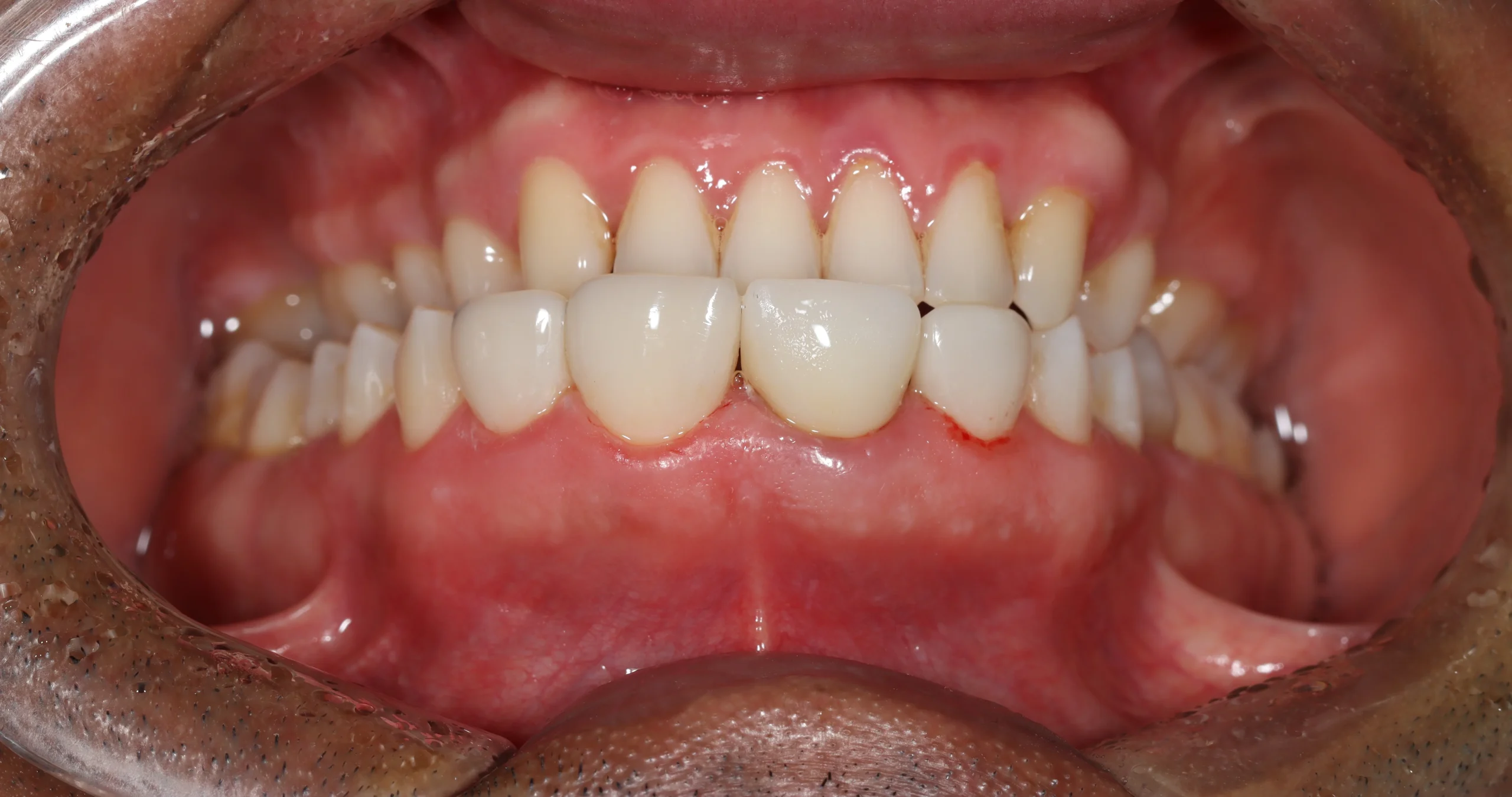
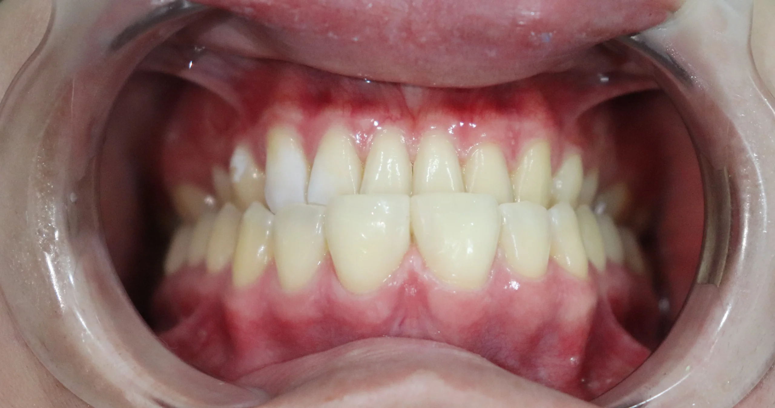
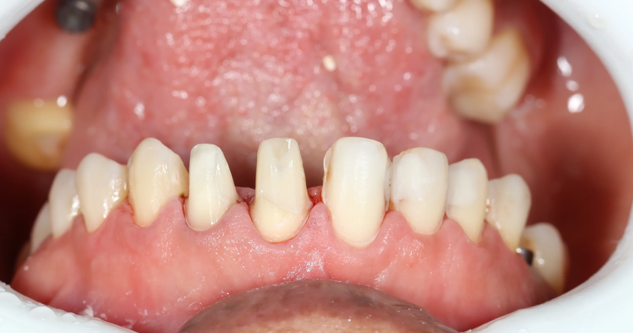
Soy el Dr. Luis Ángel Jiménez, egresado de la carrera de Estomatología en la Pontificia Universidad Católica Madre y Maestra (PUCMM). Actualmente curso la especialidad en Odontología Estética en São Paulo, Brasil. Mi mayor motivación es la felicidad de mis pacientes, y trabajar para lograr resultados estéticos notables y naturales es mi verdadera pasión.
Enfoque estético detallado para crear sonrisas armónicas y naturales.
Trato empático y cercano que promueve confianza en cada consulta.
Actualmente cursando la especialidad en Odontología Estética en São Paulo, Brasil, mi compromiso es brindar tratamientos personalizados que reflejen lo mejor de cada sonrisa. Creo firmemente que la felicidad de mis pacientes se construye con resultados visibles, funcionales y emocionalmente gratificantes.
Odontólogo General
Somos tu clínica dental en Santiago, comprometidos con la salud bucal, la atención personalizada y resultados que transforman sonrisas. Agenda tu cita hoy y descubre la diferencia.
Copyright © 2025 Todos los derechos reservados.