Coronas y Carillas Cerámicas

  1. Inicio
  2. Casos de éxito
  3. Coronas & Carillas

Caso de Éxito

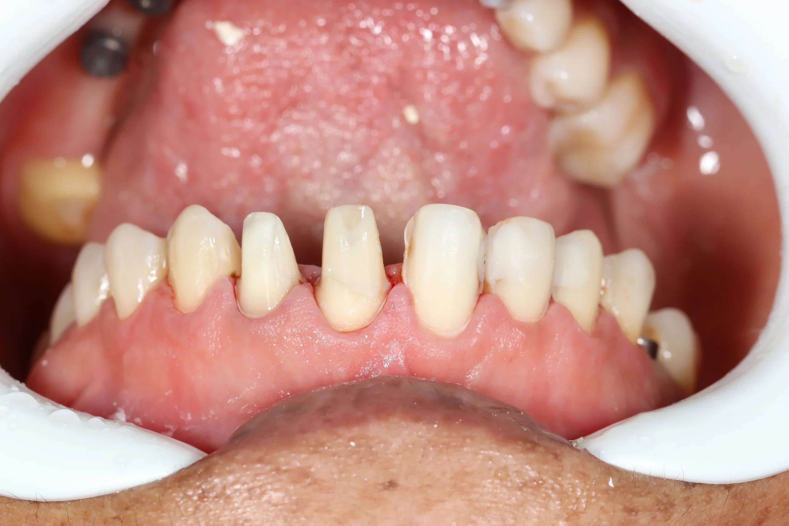
Restauración Completa con Coronas y Carillas Cerámicas

Esta paciente llegó a consulta en busca de una transformación total de su sonrisa. Durante la evaluación clínica se detectaron múltiples restauraciones filtrantes en mal estado, con deficiencias en forma, color y ajuste, lo que afectaba tanto la estética como la salud bucal.

El tratamiento consistió en eliminar todas las restauraciones defectuosas, reforzar estructuralmente cada diente afectado y colocar coronas y carillas cerámicas de alta estética. El resultado fue una sonrisa saludable, armoniosa y completamente renovada, adaptada a los requerimientos funcionales y estéticos de la paciente.

Proceso

Antes

Proceso

Después

Conoce Más

Casos de éxito

Caries

Dr. Luis Ángel Jiménez

Mordida Cruzada

Dra. Damaris Marcano

Mordida Cruzada

Dra. Damaris Marcano

Dr. Luis Ángel Jiménez

Odontólogo General