Caso de Caries

  1. Inicio
  2. Casos de éxito
  3. Caso Clínico – Caries

Caso de Éxito

Tratamiento de Caries

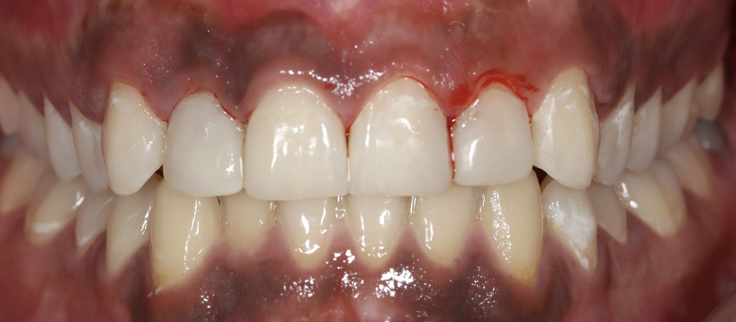
En este caso, el paciente acudió con sensibilidad dental y molestias al consumir alimentos fríos y dulces. Durante la evaluación clínica y radiográfica, se identificó una caries activa en una pieza posterior.

El tratamiento consistió en una eliminación cuidadosa del tejido afectado, seguida de una restauración estética con resina compuesta de alta calidad. Se priorizó la conservación del diente y se mantuvo la estructura dental sana intacta, logrando una integración funcional y estética.

Gracias a un enfoque detallado, mínimamente invasivo y centrado en el paciente, se logró detener la progresión de la caries, aliviar el dolor y devolver la función masticatoria, manteniendo una apariencia completamente natural.

Proceso

Antes

Proceso

Durante

Proceso

Después

Conoce Más

Casos de éxito

Caries

Dr. Luis Ángel Jiménez

Mordida Cruzada

Dra. Damaris Marcano

Mordida Cruzada

Dra. Damaris Marcano

Dr. Luis Ángel Jiménez

Odontólogo General