Dra. Damaris Inés Marcano Santana

  1. Inicio
  2. Nuestro Equipo
  3. Dra. Damaris Marcano

Soy la Dra. Damaris Inés Marcano Santana, egresada de la carrera de Estomatología y posteriormente graduada como Especialista en Ortodoncia en la Pontificia Universidad Católica Madre y Maestra (PUCMM). Además, cuento con certificación oficial como doctora autorizada en el sistema de ortodoncia invisible Invisalign®.

Destacado

Conoce más sobre la Dra. Damaris Inés Marcano Santana

  • Amplia experiencia en tratamientos de ortodoncia convencional e invisible.

  • Enfoque personalizado para lograr armonía facial y funcionalidad dental.

    Mi compromiso es acompañar a cada paciente en el proceso de transformar su sonrisa, utilizando técnicas avanzadas, planificación digital y herramientas como Invisalign® para garantizar resultados cómodos, estéticos y duraderos. Creo firmemente que una sonrisa bien alineada no solo mejora la apariencia, sino también la salud y autoestima de cada persona.

Nuestros

Casos de éxito

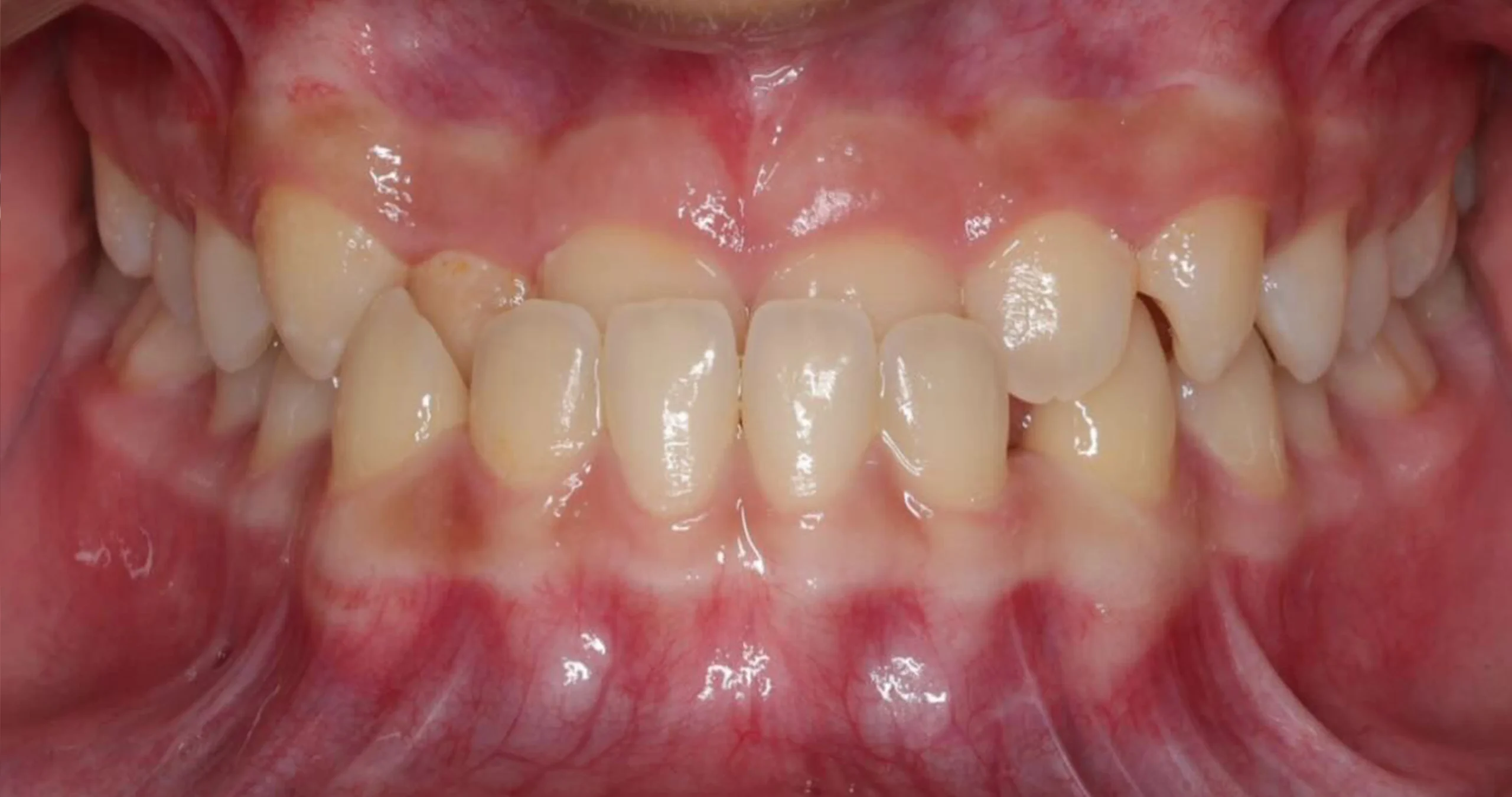
Mordida Cruzada

Dra. Damaris Marcano

Mordida Cruzada

Dra. Damaris Marcano

Damaris Inés Marcano Santana

Ortodoncista