Soy odontóloga graduada de la Universidad Tecnológica de Santiago (UTESA), con formación en bases farmacológicas y atención de primeros auxilios a pacientes especiales. Desde el inicio de mi carrera me he enfocado en ofrecer una atención odontológica integral, combinando conocimientos actualizados con un trato humano y empático hacia cada paciente.
Mi compromiso es brindar una atención integral, humana y de calidad, enfocada en la prevención, la salud bucal y el bienestar general de cada persona que confía en mi trabajo. Aspiro a seguir formándome constantemente para ofrecer lo mejor de mí en cada consulta y crecer tanto en lo personal como en lo profesional.
Ondontóloga General
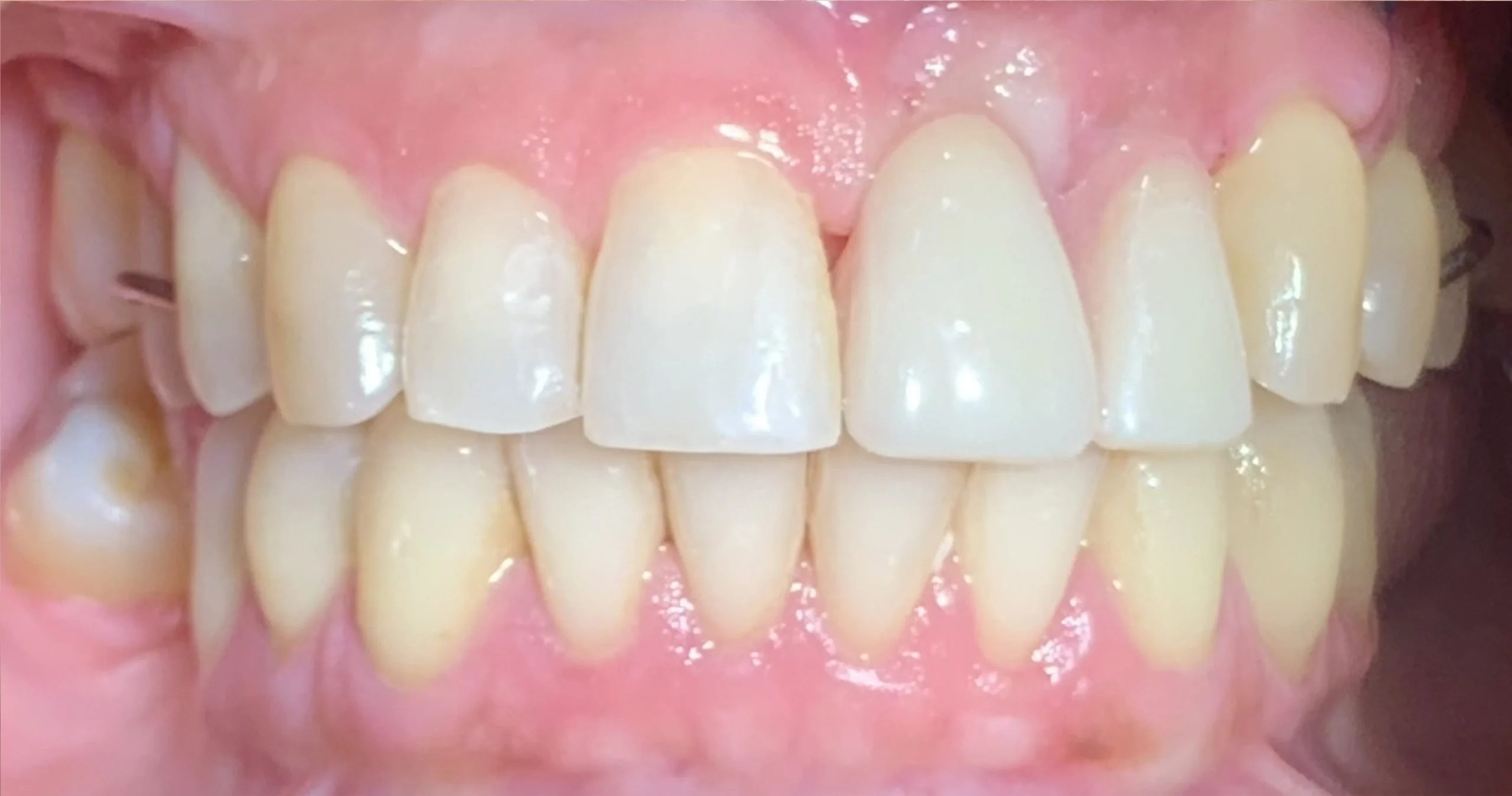
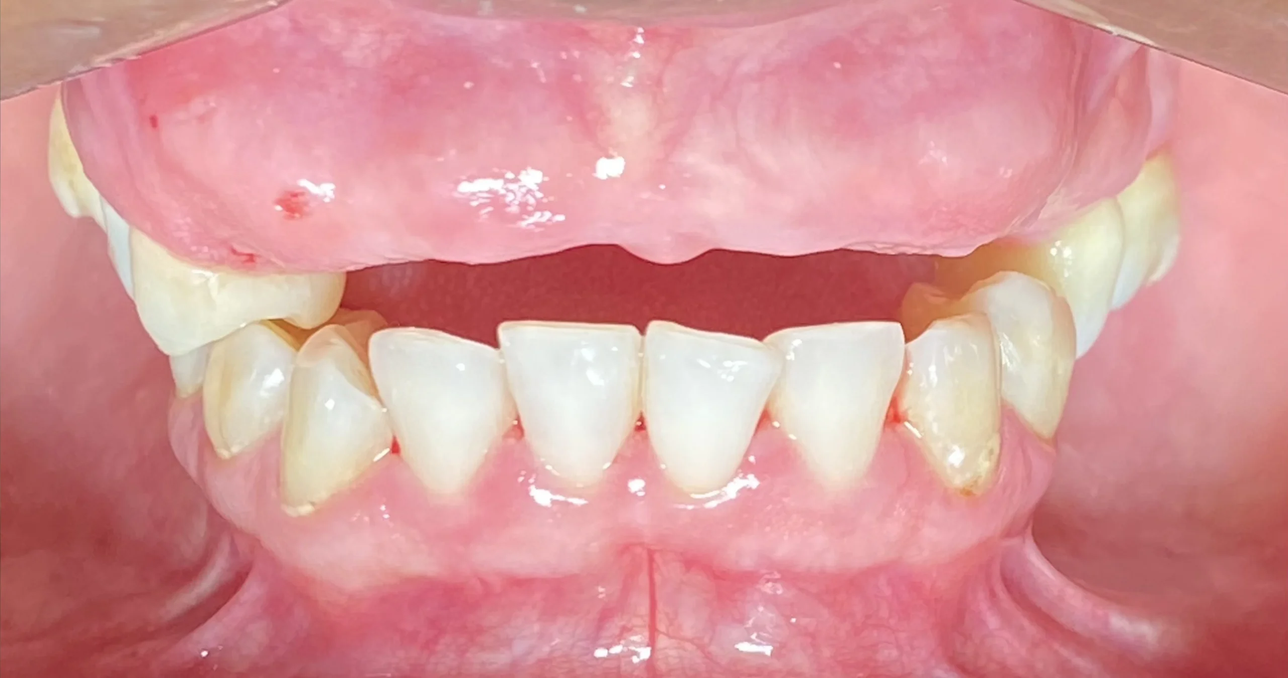
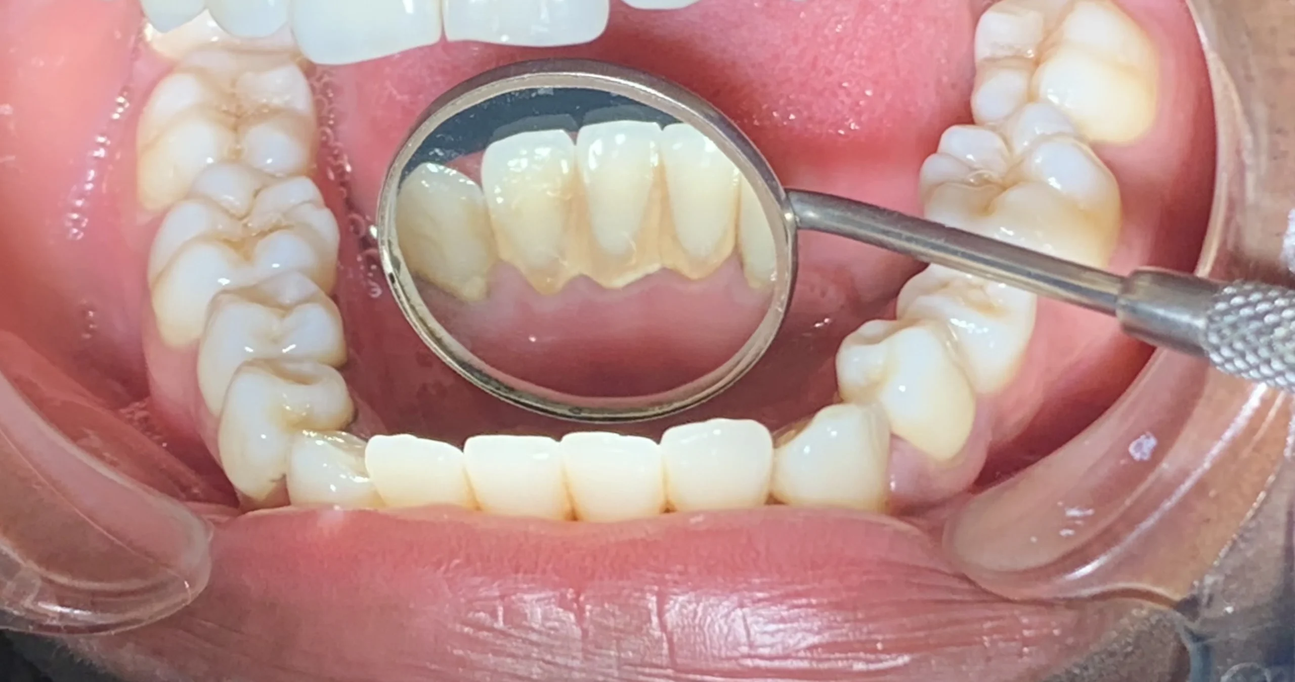
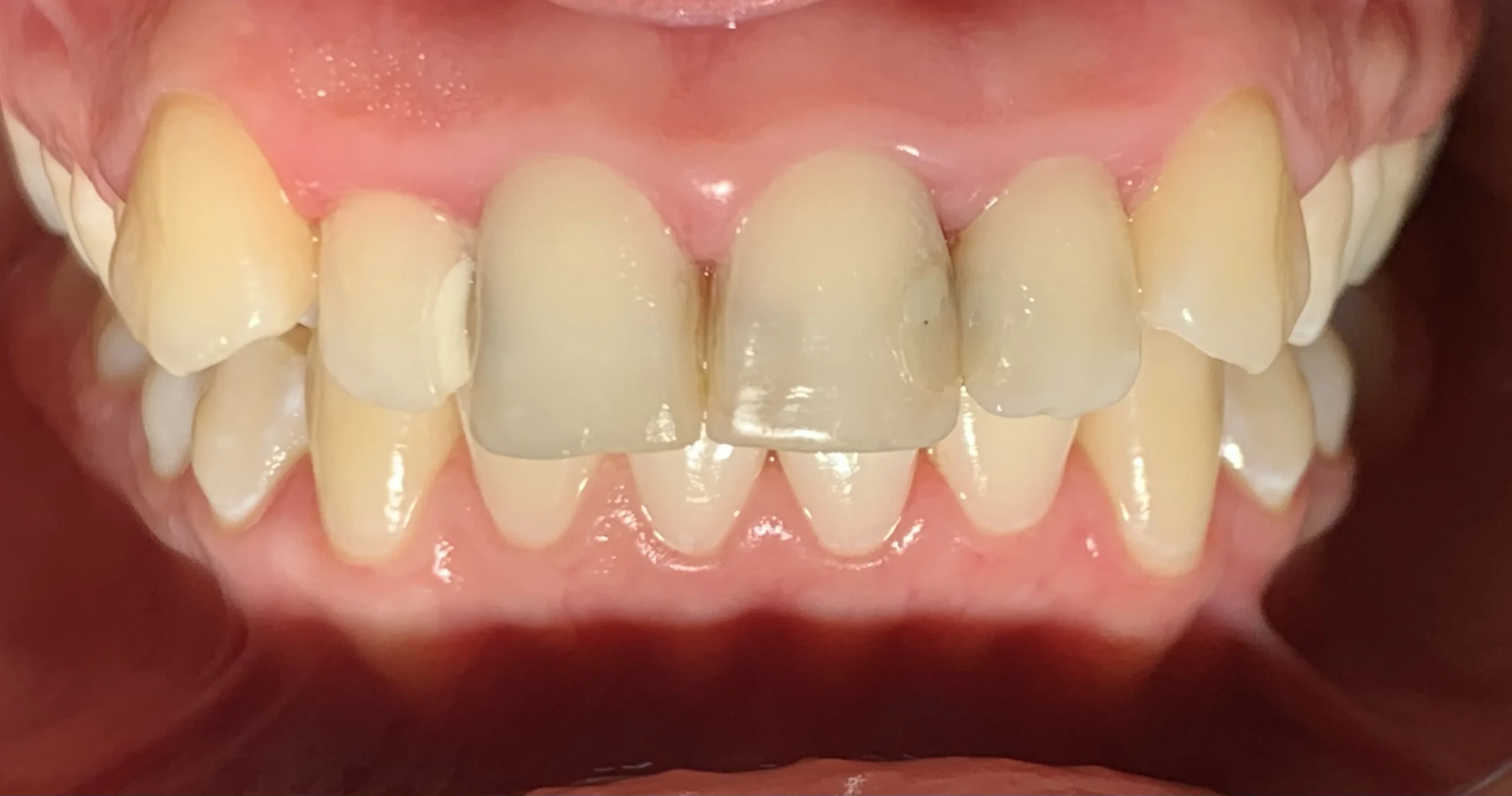
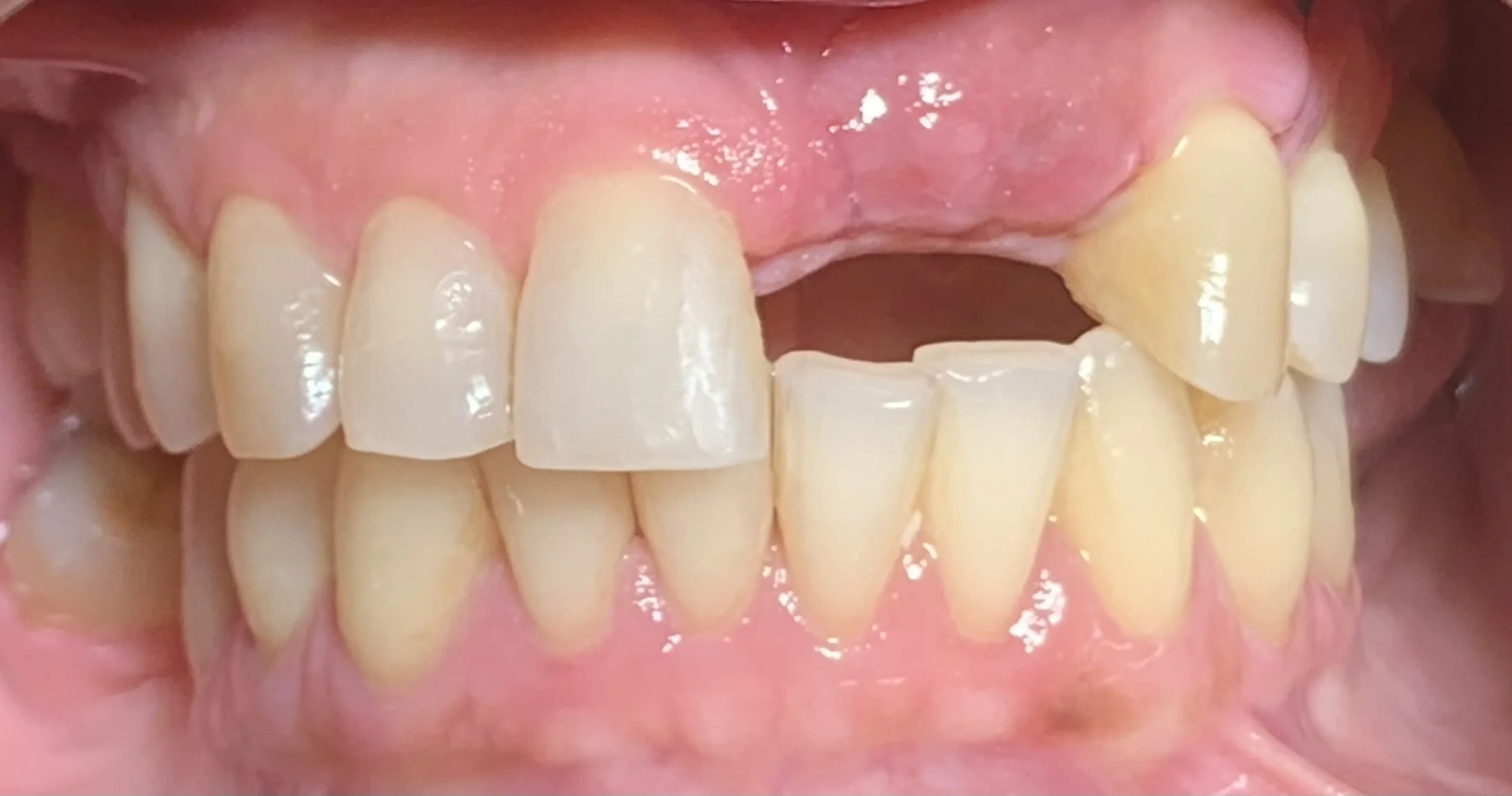
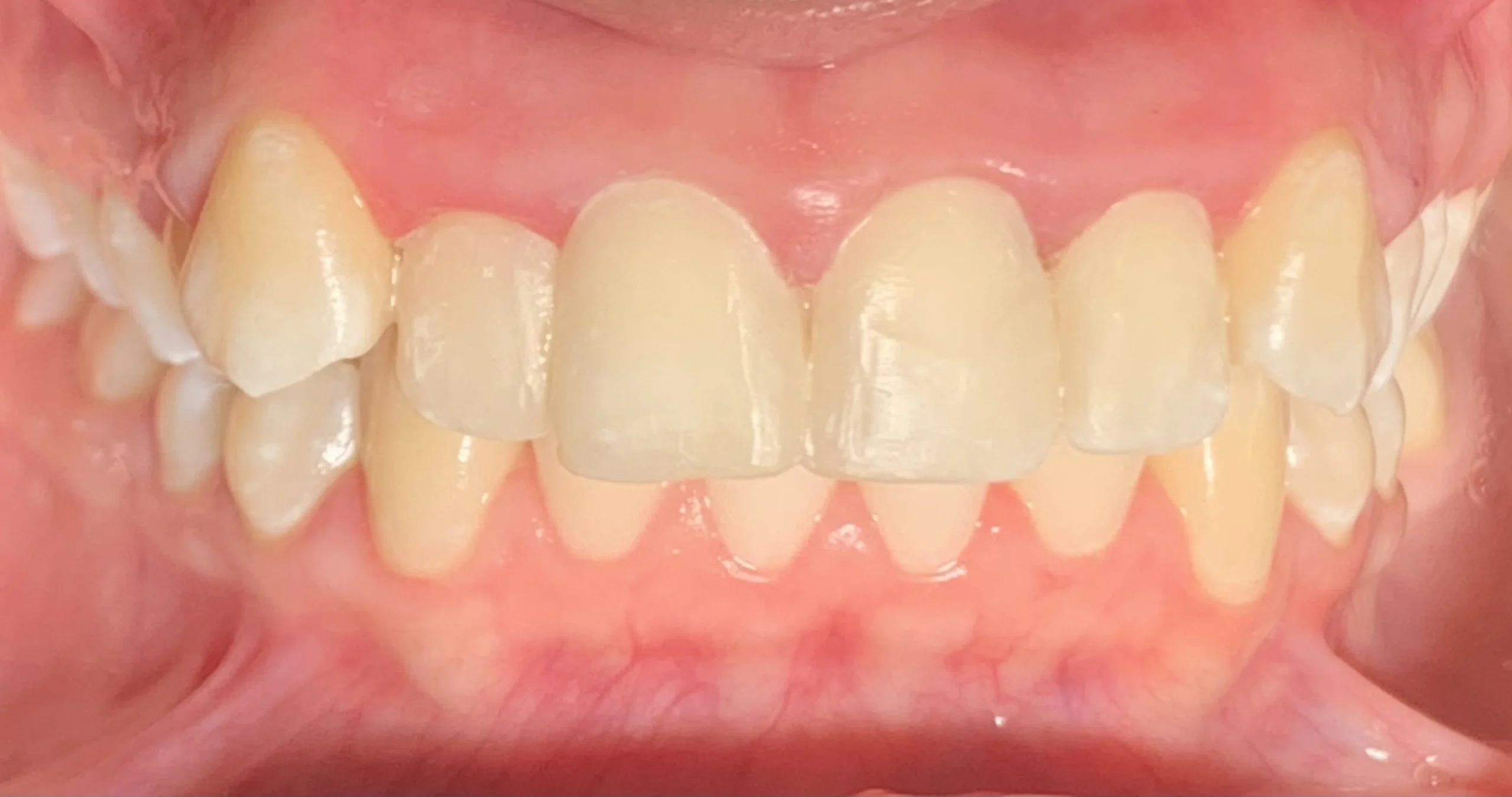
Somos tu clínica dental en Santiago, comprometidos con la salud bucal, la atención personalizada y resultados que transforman sonrisas. Agenda tu cita hoy y descubre la diferencia.
Copyright © 2025 Todos los derechos reservados.